浏览数量: 746 作者: 本站编辑 发布时间: 2021-06-16 来源: 本站
聚醚醚酮(polyetheretherketone,PEEK)为线性芳香族高分子化合物,构成单位为氧-对亚苯基-羰-对亚苯基,是半结晶性、热塑性塑料。自1978年面世后,PEEK凭借其卓越的力学性能和化学稳定性(如耐高温、化学腐蚀、辐射等优异性能),被广泛应用于航空航天、汽车和精密仪器制造等高科技领域。
PEEK单体单元的化学结构
此外,PEEK材料表面细菌定植量低于纯钛,具有可靠的生物安全性。其复合材料与人类骨组织弹性模量相近,这使得其在医学领域得到广泛应用。PEEK作为种植体、临时基台、固定义齿、活动义齿支架等研究逐渐增多,其在口腔医学领域的应用引起了国内外学者密切关注。
PEEK的概述
未经改性的PEEK弹性模量为3~4GPa,经过改性后的PEEK弹性模量可达18~150GPa,与人类骨组织弹性模量十分接近。有学者认为:采用与骨组织弹性模量相近的种植体有利于减少应力遮挡(stress shielding)效应。
不同材料的弹性模量和拉伸强度
PEEK表面能较低,不利于细胞黏附,成骨效果欠佳,且用常规处理方法进行粘接时难以获得理想效果。同时,PEEK颜色灰暗,直接用作口内修复体在一定程度上影响美观,故需对其颜色进行调整。
为了克服上述缺点提高PEEK性能,不少学者通过基团引入、粒子填充、纤维增强、等离子喷涂、旋涂等方式进行表面改性,以期获得更好的临床应用效果。
等离子喷涂概述图
PEEK在口腔种植领域中的应用
20世纪60年代,骨内牙种植体多以金属纯钛及钛合金(如Ti-6Al-7Nb、Ti-6Al-4V等)为主。尽管钛种植体受到大量实验与临床研究证据的支持,但其在临床使用中仍存在一些问题。其一是钛潜在的致敏性;其二,与人类骨组织相比,钛弹性模量过高,易发生骨组织改建或丧失;其三,金属种植体缺乏透光性,影响美观。
1998年,英国Invibio公司推出了PEEK种植体。随着商业化PEEK种植体问世,相关研究逐渐增多。PEEK及其改性材料具有良好的性能,有学者认为PEEK种植体或可避免应力遮挡效应发生,甚至可替代金属种植体应用于整形外科、创伤外科等领域。
力学强度
PEEK种植体在应用时面临的主要问题之一是其较差的抵抗应力能力,即力学强度不够。玻璃纤维加强PEEK(GFR-PEEK)、碳纤维加强PEEK(CFR-PEEK)等加强材料的出现在一定程度上提高了PEEK力学强度。
未填充,碳纤维填充,玻璃纤维填充PEEK属性表
Lee等对PEEK种植体的应力遮挡及疲劳极限进行了研究,结果显示:4mm直径的GFR-PEEK种植体的疲劳极限为310N,其静态抗压强度为256N;提示GFR-PEEK种植体足以承受前牙的循环咬合力(140-170N)。
骨整合
PEEK作为一种惰性材料,与周围组织间相互作用较弱。一些学者对PEEK进行了一系列细胞实验,结果显示:在促进细胞增殖方面,与钛相比,PEEK表面增殖细胞显示出更强的炎性增生,其与骨组织之间纤维性相互作用更明显。
SEM观察PEEK-HA-CF复合材料表面细胞成骨情况
(A:24h 75PEEK/20HA/5CF,B:24h 75PEEK/05HA/20CF)
Cook等对PEEK种植体与单层骨密质(unicorticalbone)间的结合力进行了研究,结果显示:种植体植入4周与8周时,有钛涂层的种植体均出现显著增高的骨-种植体接触率。
为提高PEEK种植体与周围组织的相互作用,对PEEK进行表面处理是有效方法之一。增加表面粗糙度可促进细胞黏附;除钛涂层外,PEEK表面涂布羟磷灰石或磷酸钙等材料可促进成骨细胞增殖。
羟基磷灰石的晶体结构及(0001)面的投影
PEEK基台
有学者对PEEK与钛临时基台的力学性能进行了比较,结果显示:PEEK临时基台折断时的力为(329.4±103.6)N,虽远低于钛临时基台,但可以承担前牙区的咬合力。鉴于PEEK良好的生物相容性,可作为愈合基台使用。
Hahnel等对钛、氧化锆、PEEK与聚甲基丙烯酸甲酯(poly-methylmethacrylate,PMMA)等常用基台材料的细菌黏附率进行了研究,结果显示:PEEK表面的菌斑黏附率与钛、二氧化锆或PMMA基台相近,甚至更低。
种植基台可由钛、金、氧化铝、氧化锆等材料制成
相对于钛或氧化锆基台,PEEK基台的修整更简便。此外,PEEK还可用作种植修复上部支架材料,与龈色材料共同使用,可在减轻修复体重量的同时保证红色美学效果。因此,对于种植体基台来说,PEEK可作为金属或瓷的替代材料。
PEEK在活动义齿修复中的应用
卡环是活动义齿不可或缺的组成部分,活动义齿的固位主要依靠卡环对基牙的弹性卡抱力。传统卡环由合金制成,具有弹性好、固位力佳、可弯制等优点。牙色卡环相较于金属卡环,前者在一定程度上减小了卡环对美观的影响,其通常由热塑性树脂制作而成,PEEK也是其中之一。
有学者对不同树脂材料卡环的固位力进行了研究。分别使用PEEK、聚醚酮酮[poly(ether-ketone-ketone),PEKK]和聚甲醛(polyformaldehyde,POM)制成三臂卡环,咀嚼模拟机在液态环境下对每个卡环进行1.5万次就位-脱位循环。
PEEK卡环
研究结果显示:PEEK卡环的固位力高于另外2种材料,且随着摘戴并无明显降低,但其固位力远低于钴铬合金卡环;另外,扫描电子显微镜下可见钴铬合金卡环对基牙模型表面的磨损,而树脂卡环则未见磨损基牙。
Zoidis等报道了1例由于患者对金属的味道、重量及金属卡环颜色不满从而使用PEEK作为支架材料制作而成的下颌局部可摘义齿。他们将熔融的PEEK材料通过真空压铸方式制成支架,在此基础上进一步排牙、制作树脂基托。
下颌PEEK支架可摘局部义齿
与传统钴铬合金支架的活动义齿相比,PEEK支架活动义齿的重量减少了27.5%。由于PEEK具有较好的弹性,卡环配合近中支托的设计方式有利于减轻肯氏Ⅰ类基牙所受的远中应力。因此,对于金属敏感、不能够接受口内有金属的患者而言,PEEK可作为金属支架的替代材料。
PEEK在固定义齿修复中的应用
无论直接作为修复体还是底冠,PEEK及其复合物都面临着与基牙或表面材料之间的粘接问题。因此,许多学者或对PEEK进行表面处理,或应用不同粘接系统,从增加机械固位力与化学相互作用两个角度入手,以期改善其粘接性能。
有学者在粘接前对PEEK表面进行预处理并同时应用预处理剂,结果显示:经喷砂(50μm、0.2MPa)处理后,Visio.link和Signum PEEK BondⅠ+Ⅱ这两种预处理剂可显著增加树脂与PEEK之间的结合强度,分别可达40.0~69.0 MPa与41.3~57.5 MPa。
不同材料表面喷砂后与树脂粘接剂间的拉伸粘接强度
Uhrenbacher等针对不同表面处理方式对PEEK单冠固位力的影响进行了研究。结果显示:未经任何处理的PEEK单冠[使用的粘接剂为自粘接树脂(RelyX Unicem,3M ESPE)]与天然基牙之间的固位强度为(0.43±0.24)MPa,喷砂并使用Signum PEEK Bond粘接系统后,固位强度增加至(2.97±0.92)MPa。
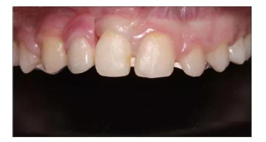
目前,牙科常用的PEEK及其改性材料多为灰色或白色,无透光性,因此不适用于前牙区等美学要求较高部位的修复体。出于这一原因,往往需要在PEEK底冠上进行饰面。报道较多的PEEK饰面为复合树脂。
PEEK树脂粘接固定义齿颊面观
结语
PEEK凭借其与口腔硬组织相近的理化特性,可作为传统牙科材料的替代材料应用于修复与种植等领域。目前PEEK的应用多处于实验室研究阶段,且大量研究致力于改善其力学强度、生物相容性、粘接性能等,PEEK修复体广泛应用于临床还需要更多动物实验与临床试验的研究数据支持。
